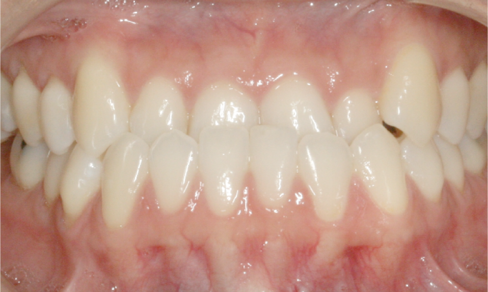
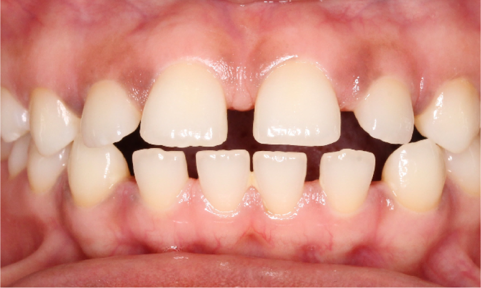
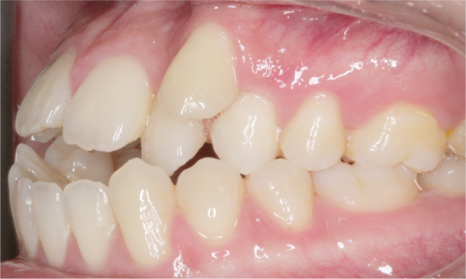
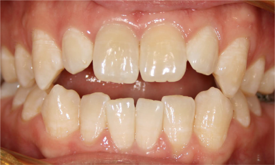
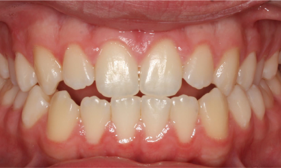
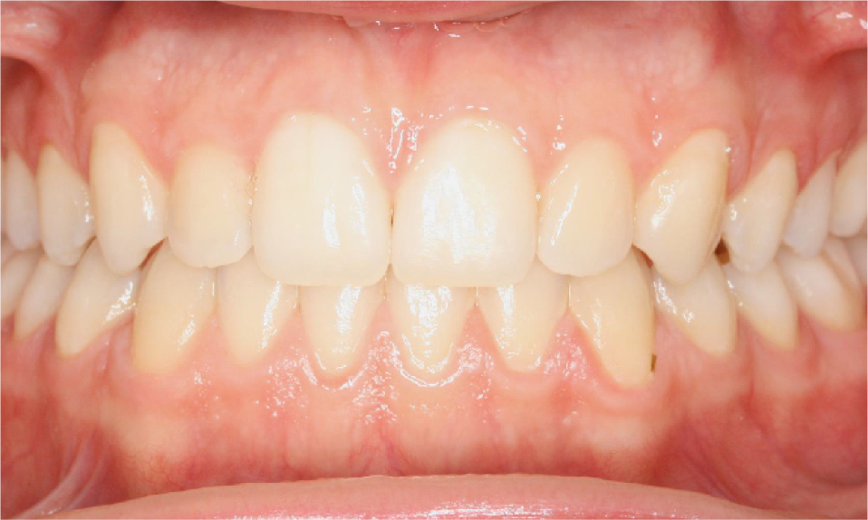
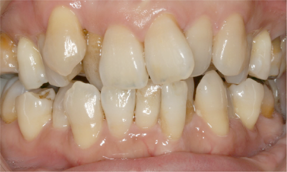
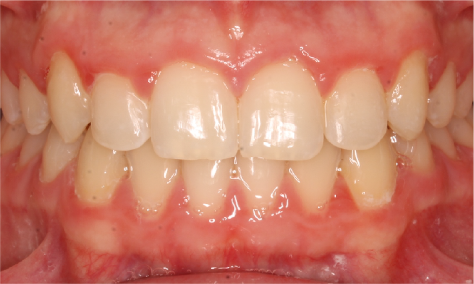
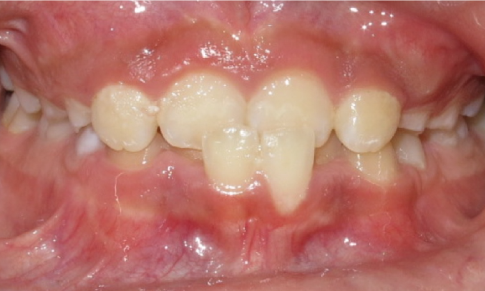
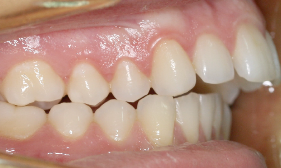
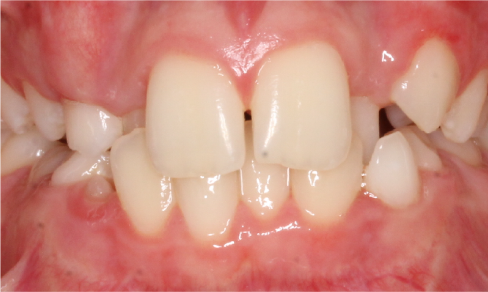
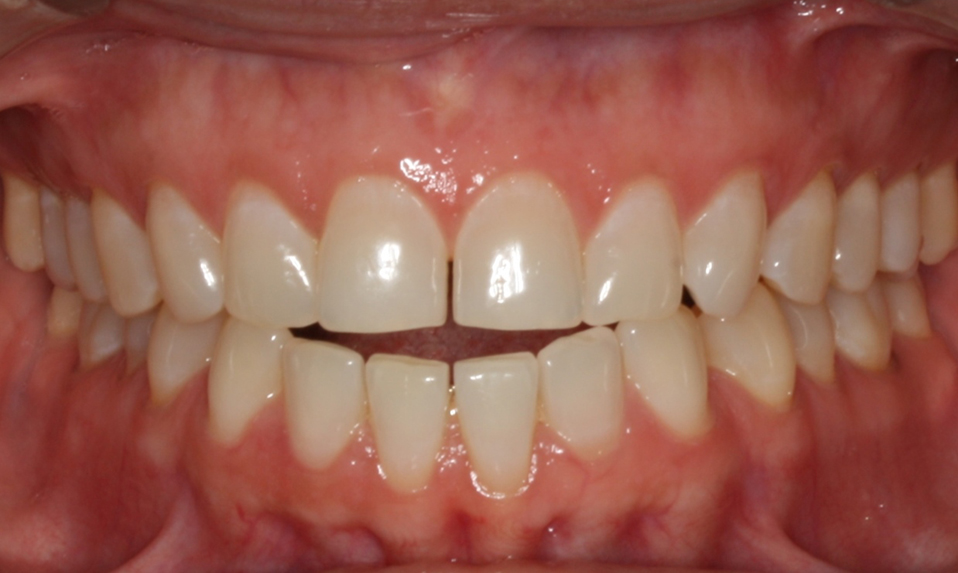
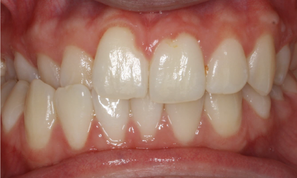
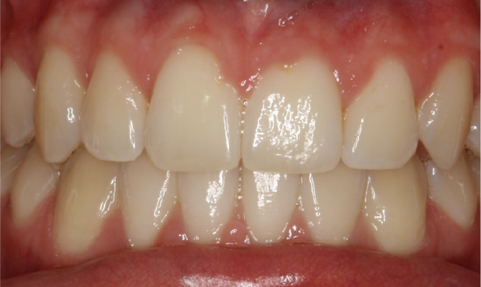
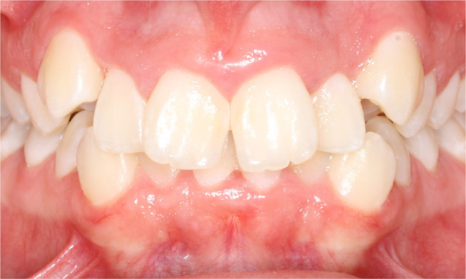
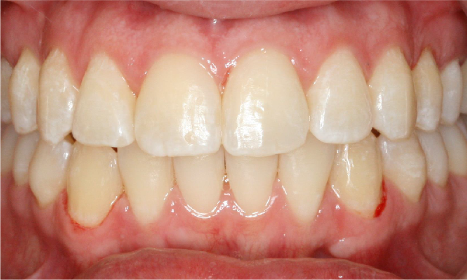
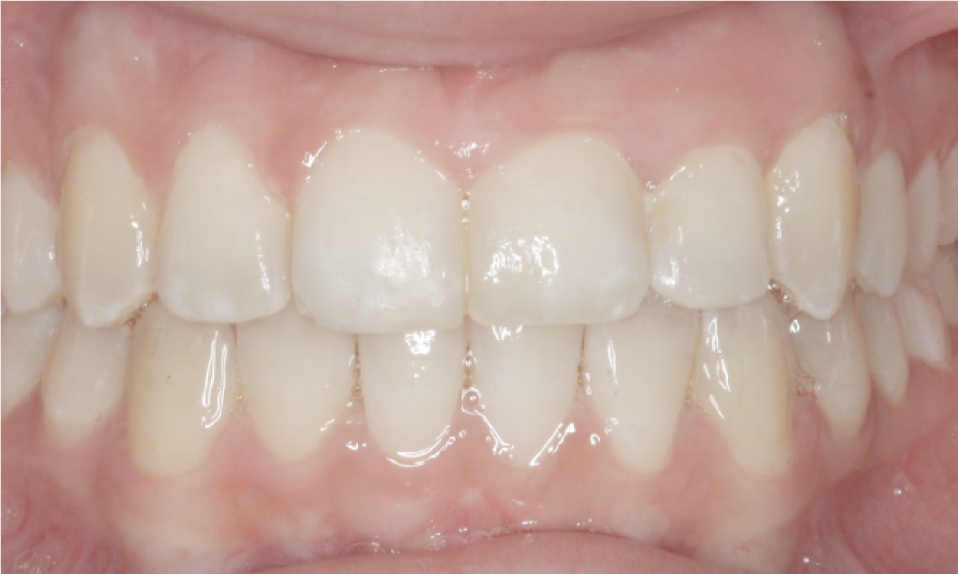
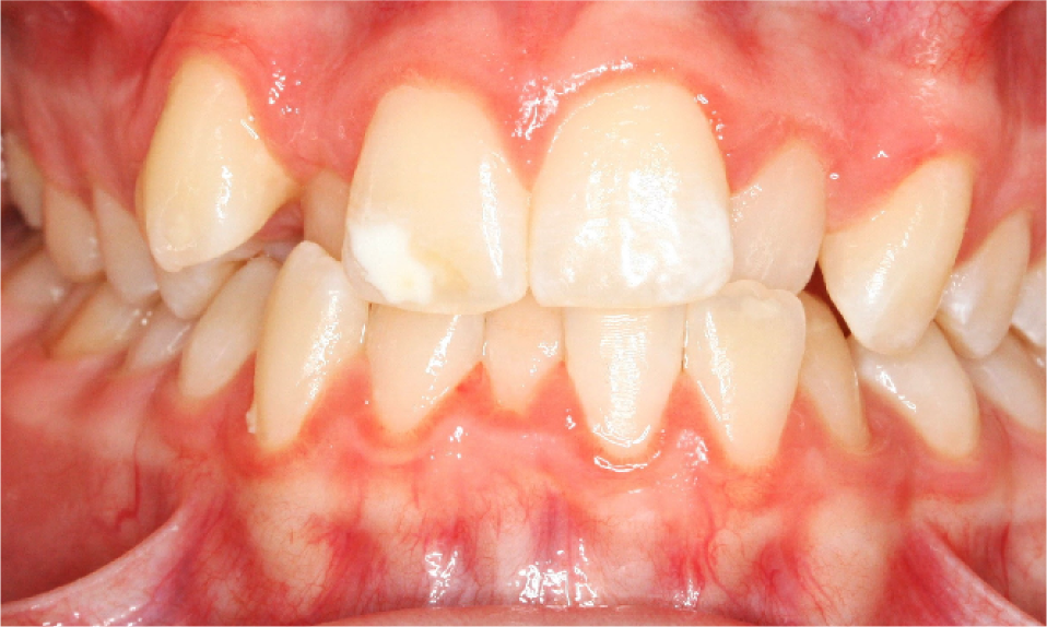
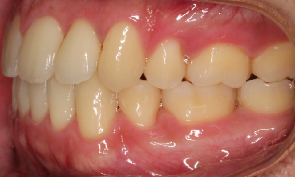
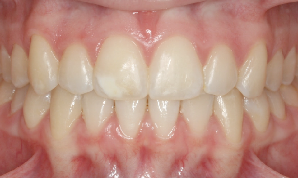
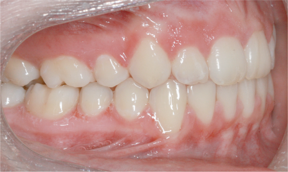
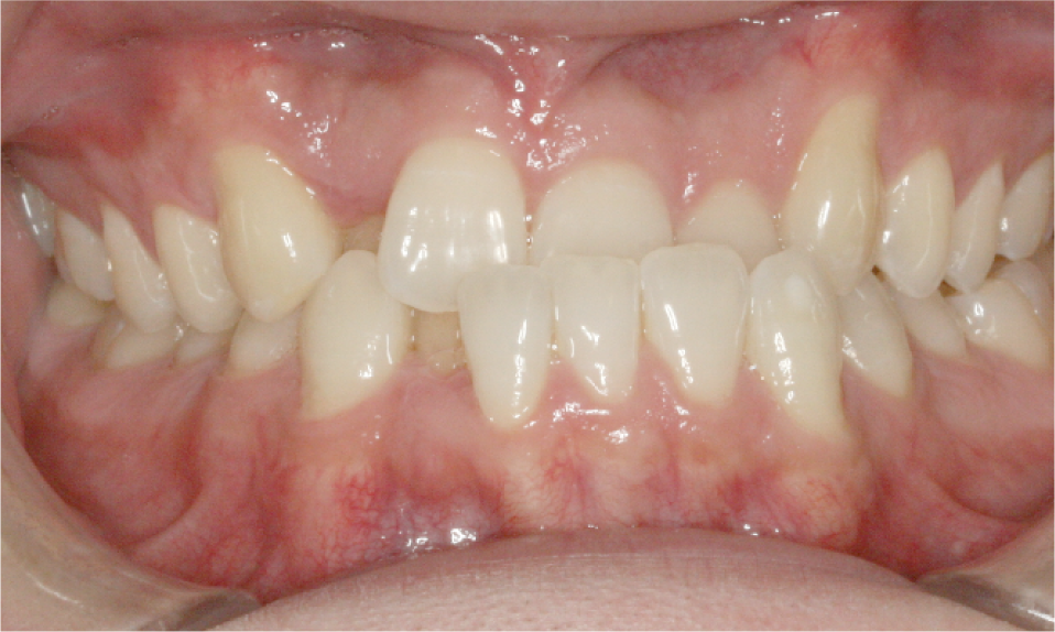
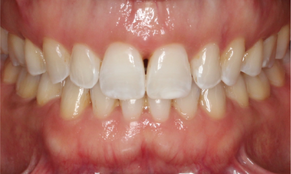
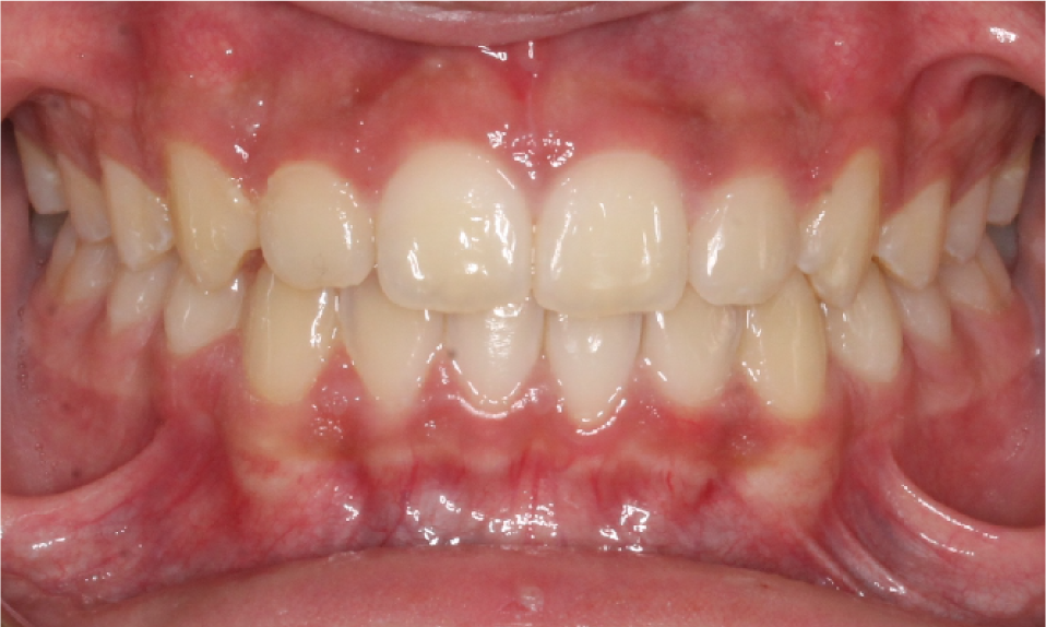
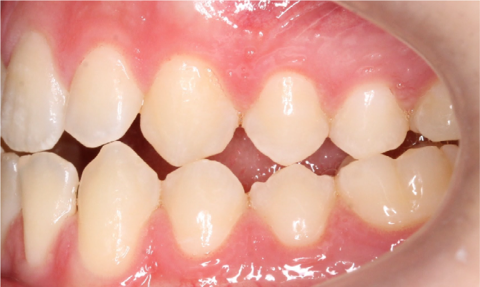
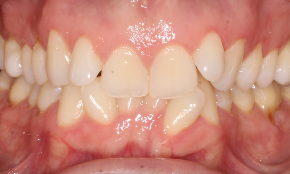
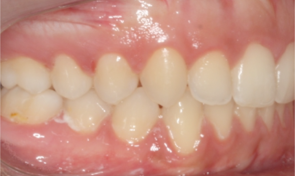
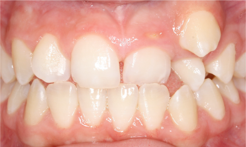
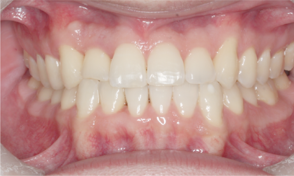
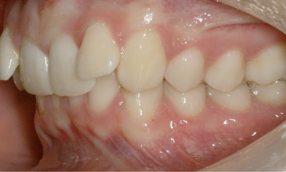
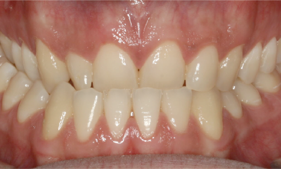
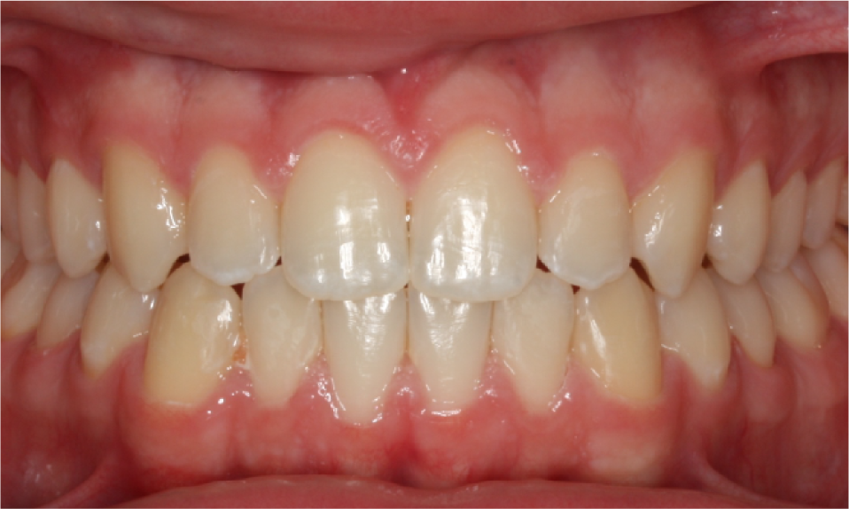
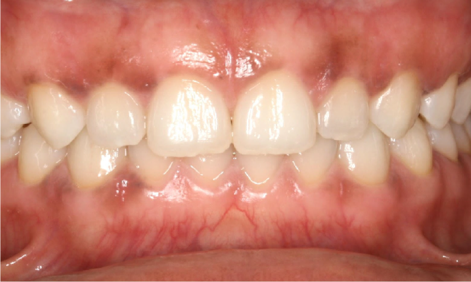
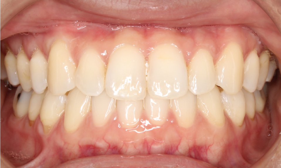
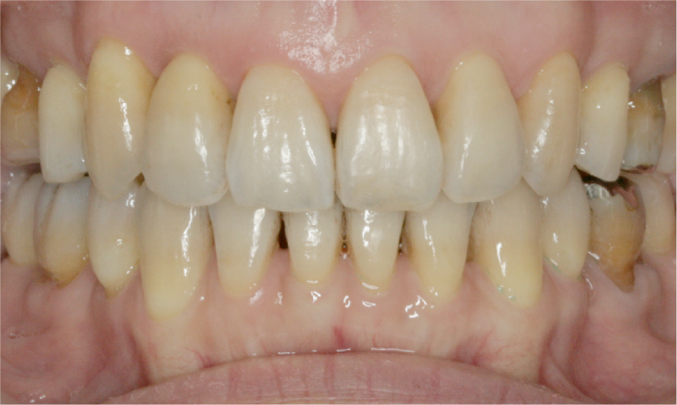
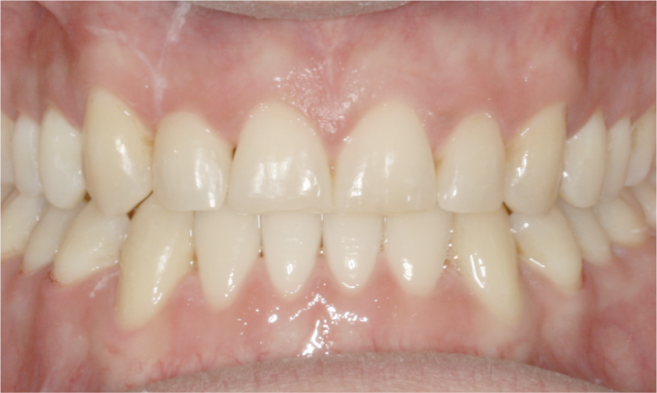
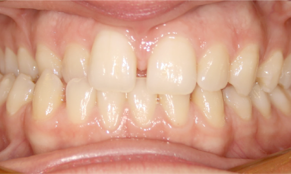
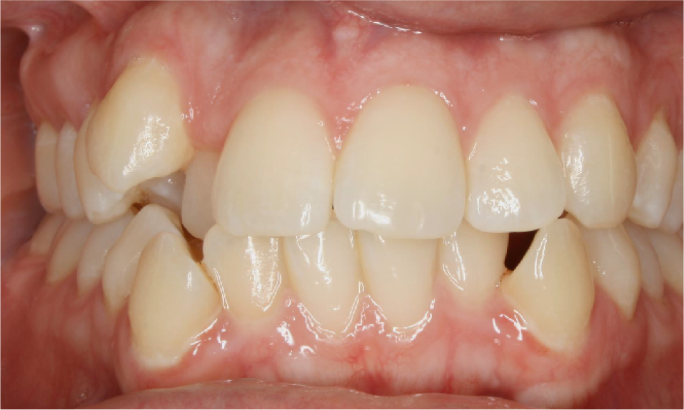
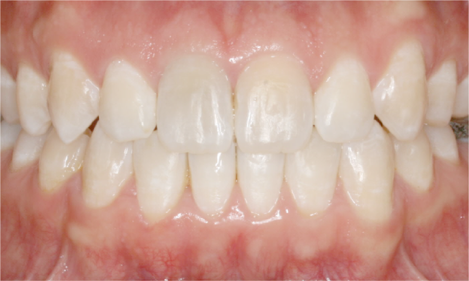
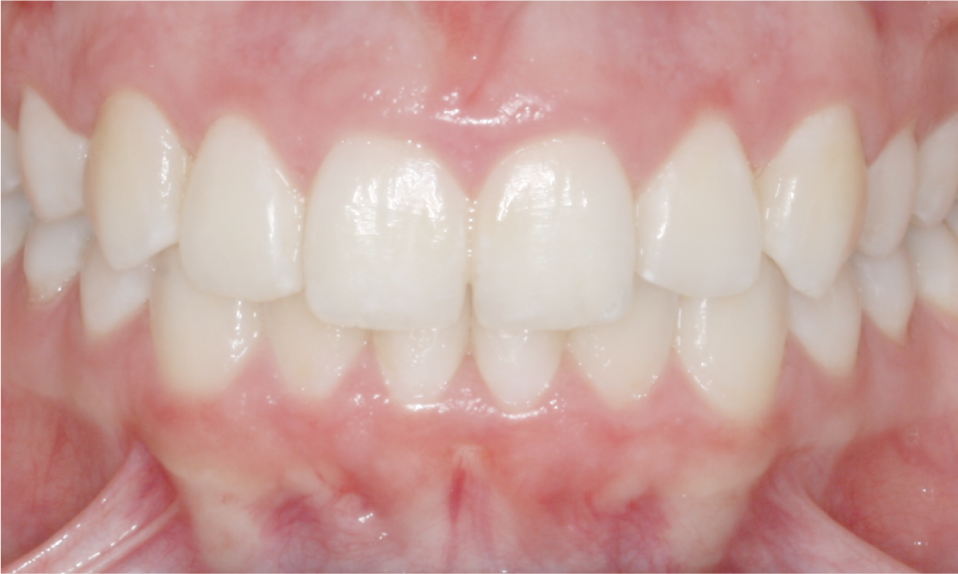
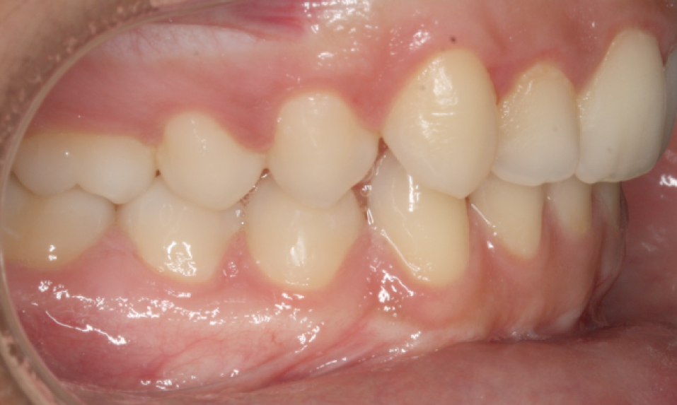
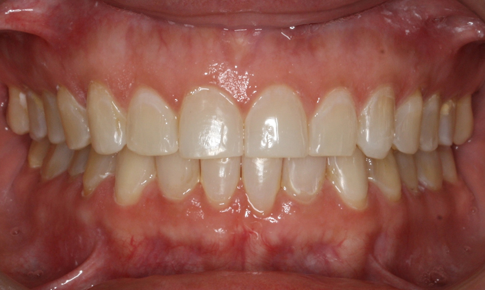
Results

Testimonials

“Dr. Piedade has been so helpful to me and my practice in assisting with proper diagnosis and treatment planning of difficult Invisalign cases. He has the unique ability to get the plastic to perform better than braces even under complicated scenarios.”

Dr. Jeff M.
St. Louis, MO


Using aligners to treat cases requires a different mindset and Dr. Luis really knows how to manipulate the Clinchecks to achieve the desired outcome. Whether it’s an anterior open bite, cross bite, or severe rotations, he has always delivered success for my patients.”

Dr. Jeff S.
Columbus, OH

 


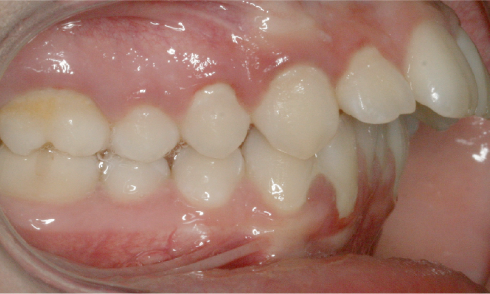
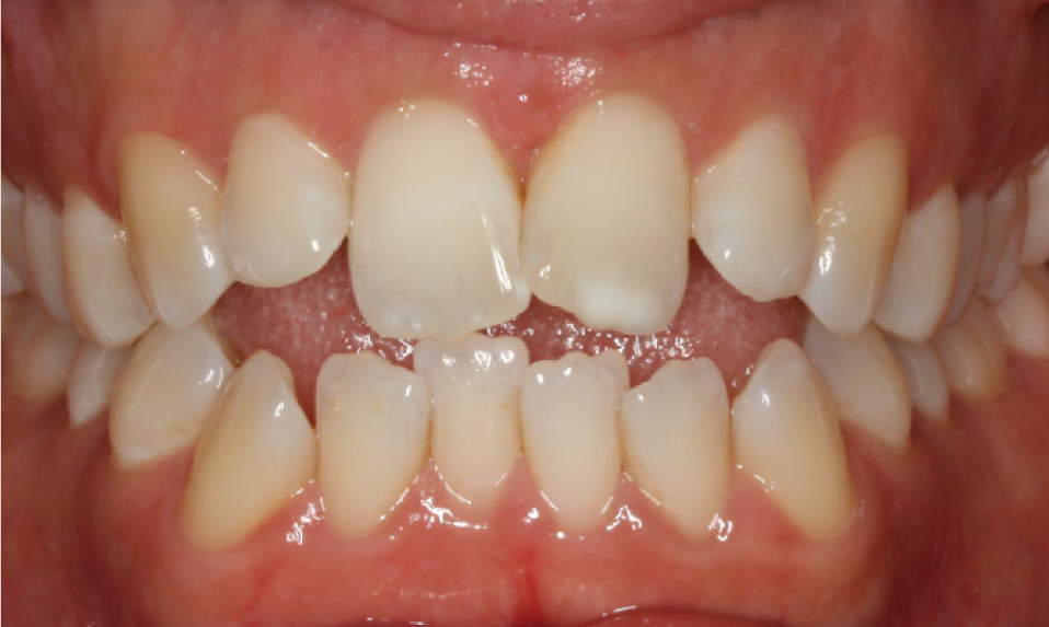
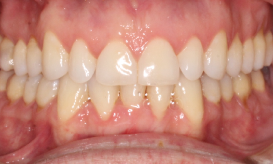
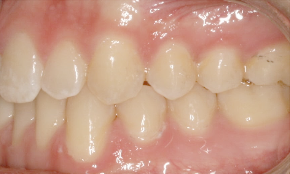
After 12+ months struggling with an open bite case, Dr. Piedade was able to get the case back on track within 3 months of taking over the controls. I cannot recommend him enough!

Dr. Andre O.
Madison, WI

“I can’t say enough about Dr. Piedade and his mastery of Invisalign product. Not only he is one of the top Invisalign providers in the world, but he also has a true understanding of the product and the way the plastic can move teeth.

Dr. Vlad T.
Houston, TX

“Prior to Dr. Piedade’s encouragement I was not sure Invisalign was right for my practice, but after his coaching I truly feel that I can treat any case with Invisalign now.

Dr. Pepe G.
Temecula, CA

“Dr. Luis has a unique ability to see what others do not see when setting up Invisalign cases and to educate and coach his colleagues to take on cases that were previously thought as untreatable.

Dr. Ryan S.
Oklahoma City, OK

“Dr. Luis made me believe that plastic is fantastic and it helped me to grow my practice. As of today, I’m a Diamond Invisalign provider and feel that it would not be possible without Dr. Luis’ encouragement and expertise. I’m forever grateful and strongly recommend his services.

Dr. Ben F.
Pensacola, FL